Orthodontic Treatment
ORTHODONTIC TREATMENT – MYOBRACE
Dental braces are the familiar wire-based appliances that orthodontists use to correct crowded and misaligned teeth or jaws. Many people who need dental braces get them during their early adolescent years. But adults can get dental braces, too.
The goal of dental braces is to properly align your teeth and jaws and produce an even bite.
Modern materials and technologies make the experience of having dental braces much more comfortable and enjoyable than in the past.
For more information click here: www.myobrace.com
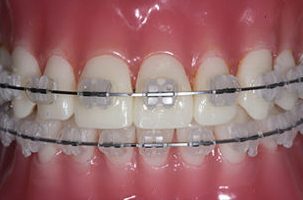
CERAMIC BRACES
Ceramic braces (including “clear braces“) are a treatment option that helps to create a more pleasing, less conspicuous appearance for orthodontic patients.
The primary difference between ceramic and traditional braces has to do with the type of orthodontic brackets that are bonded to the patient’s teeth.
With ceramic braces, the brackets are clear or tooth-colored, not metal. (With both methods, there’s still a metal wire that runs across the patient’s teeth that’s held in place using elastic bands.)
ECLINGER
Nowadays, orthodontic treatment is possible using transparent appliances. prepared in digital environment. This is the Eclinger system, which applies minimum amount of force on teeth and does not cause any disturbance on daily life or any esthetic problem. The system can be used safely especially by adult patients.
In our clinic, orthodontic treatment is also provided by the Eclinger system
